Toggle navigation
Our Work
Technology
Staff
Reviews
Specials
Make Appointment
Patient Forms
Location
See Our Work
Select
Category
General
Cosmetic
Fast Braces
Implants
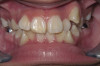
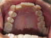
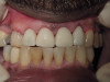
General
Dentistry Work
Cosmetic
Dentistry Work
Fast Braces
Dentistry Work
Implants
Dentistry Work
Call
Location
210-625-8668
16019 Nacogdoches Rd #110, San Antonio TX 78247